Gamuts

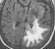
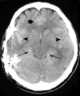
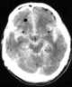
Primary leptomeningeal glioblastomatosis

May Cause
Diffuse gyriform meningeal enhancement
May Cause
Diffuse gyriform meningeal enhancement


Copyright © 2025, Charles E. Kahn, Jr., MD, MS
ALL RIGHTS RESERVED
About "Gamuts"

Quiz