Meningeal carcinomatosis

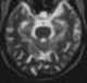
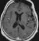
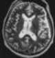
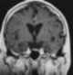
Leptomeningeal cancer (also called leptomeningeal carcinomatosis, leptomeningeal disease (LMD), leptomeningeal metastasis, neoplastic meningitis, meningeal metastasis and meningeal carcinomatosis) is a rare complication of cancer in which the disease spreads from the original tumor site to the meninges surrounding the brain and spinal cord. This leads to an inflammatory response, hence the alternative names neoplastic meningitis (NM), malignant meningitis, or carcinomatous meningitis. [Source: Wikipedia ]