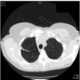
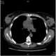
Benign thymoma

A thymoma is a tumor originating from the epithelial cells of the thymus that is considered a rare malignancy. Thymomas are frequently associated with the neuromuscular disorder such as myasthenia gravis; thymoma is found in 20% of patients with myasthenia gravis. [Source: Wikipedia ]