Gamuts

Subdural hygroma

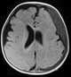
A subdural hygroma (SDG) is a collection of cerebrospinal fluid (CSF), without blood, located under the dural membrane of the brain. Most subdural hygromas are believed to be derived from chronic subdural hematomas. [Source: Wikipedia ]

May Cause
Avascular intracranial mass
Avascular zone near the brain surface
CSF-intensity extraaxial fluid collection
Increased intracranial pressure
Middle cranial fossa lesion
Separation of cranial sutures in a child
May Cause
Avascular intracranial mass
Avascular zone near the brain surface
CSF-intensity extraaxial fluid collection
Increased intracranial pressure
Middle cranial fossa lesion
Separation of cranial sutures in a child


Copyright © 2026, Charles E. Kahn, Jr., MD, MS
ALL RIGHTS RESERVED
About "Gamuts"

Quiz