Progressive massive fibrosis

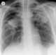
Progressive massive fibrosis (PMF), characterized by the development of large conglomerate masses of dense fibrosis (usually in the upper lung zones), can complicate silicosis and coal worker's pneumoconiosis. Conglomerate masses may also occur in other pneumoconioses, such as talcosis, berylliosis (CBD), kaolin pneumoconiosis, and pneumoconiosis from carbon compounds, such as carbon black, graphite, and oil shale. [Source: Wikipedia ]