Cerebral cyst

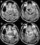
Choroid plexus cysts (CPCs) are cysts that occur within choroid plexus of the brain. They are the most common type of intraventricular cyst. [Source: Wikipedia ]