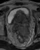
T2-hypointense prostate mass

Aspirin, also known as acetylsalicylic acid (ASA), is a medication used to reduce pain, fever, or inflammation. Specific inflammatory conditions which aspirin is used to treat include Kawasaki disease, pericarditis, and rheumatic fever. [Source: Wikipedia ]