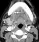
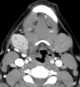
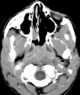
Acute suppurative sialadenitis

Sialadenitis (sialoadenitis) is inflammation of salivary glands, usually the major ones, the most common being the parotid gland, followed by submandibular and sublingual glands. It should not be confused with sialadenosis (sialosis) which is a non-inflammatory enlargement of the major salivary glands.Sialadenitis can be further classed as acute or chronic. [Source: Wikipedia ]