Gamuts

Adrenal tumor

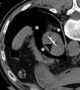
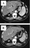
An adrenal tumor or adrenal mass is any benign or malignant neoplasms of the adrenal gland, several of which are notable for their tendency to overproduce endocrine hormones. Adrenal cancer is the presence of malignant adrenal tumors, and includes neuroblastoma, adrenocortical carcinoma and some adrenal pheochromocytomas. [Source: Wikipedia ]

May Cause
Adrenal mass
Extrinsic deformity of gallbladder
Precocious puberty
Upper abdominal mass in a neonate or child
May Be Caused by
Adrenal adenoma
Adrenal metastasis
Adrenocortical carcinoma
Breast cancer
Fibroma
Ganglioneuroblastoma
Ganglioneuroma
Hemangioma
Lipoma
Lung carcinoma
Lymphangioma
Lymphoma
Melanoma
Myelolipoma
Neuroblastoma
Neurofibroma
Pheochromocytoma
Renal cell carcinoma
Schwannoma
May Cause
Adrenal mass
Extrinsic deformity of gallbladder
Precocious puberty
Upper abdominal mass in a neonate or child
May Be Caused by
Adrenal adenoma
Adrenal metastasis
Adrenocortical carcinoma
Breast cancer
Fibroma
Ganglioneuroblastoma
Ganglioneuroma
Hemangioma
Lipoma
Lung carcinoma
Lymphangioma
Lymphoma
Melanoma
Myelolipoma
Neuroblastoma
Neurofibroma
Pheochromocytoma
Renal cell carcinoma
Schwannoma


Copyright © 2025, Charles E. Kahn, Jr., MD, MS
ALL RIGHTS RESERVED
About "Gamuts"

Quiz