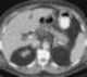
Adjacent abscess

An abscess is a collection of pus that has built up within the tissue of the body. Signs and symptoms of abscesses include redness, pain, warmth, and swelling. [Source: Wikipedia ]