Melioidosis

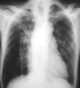
Melioidosis is an infectious disease caused by a Gram-negative bacterium called Burkholderia pseudomallei. Most people infected with B. pseudomallei experience no symptoms, but those who do experience symptoms have signs and symptoms that range from mild, such as fever, skin changes, pneumonia, and abscesses, to severe with inflammation of the brain, inflammation of the joints, and dangerously low blood pressure that causes death. [Source: Wikipedia ]