Gamuts
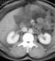
Circumaortic renal collar
Synonym for
Circumaortic left renal veins
Is A
Anomaly of inferior vena cava
Synonym for
Circumaortic left renal veins
Is A
Anomaly of inferior vena cava