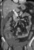
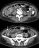
Typhlitis

Neutropenic enterocolitis is inflammation of the cecum (part of the large intestine) that may be associated with infection. It is particularly associated with neutropenia, a low level of neutrophil granulocytes (the most common form of white blood cells) in the blood. [Source: Wikipedia ]